〒815-0033 福岡県福岡市南区大橋1丁目8-1
西鉄大橋駅から徒歩2分

診療時間
 8:00 - 13:00
14:00 - 17:00

ご予約はお電話からお願いします

092-512-5713
※初診時は1時間での予約になります

歯周病

歯周病は、歯肉炎と歯周炎の総称のことを指します。正確な表現ではありませんが、「歯槽膿漏」という病態で広く知られています。
歯とその周囲の組織である歯肉(しにく)や歯槽骨(しそうこつ)に慢性的な炎症を起こす疾患です。歯周病は口腔内の細菌やプラーク(歯垢)との関係が深く、進行すると歯を支える組織が破壊され、最終的に歯の喪失を引き起こすことがあります。

歯周病の原因

歯周病の主な原因は、歯の表面や、歯石の表面に付着したプラークです。 歯磨きやフロスなどの適切な口腔衛生管理が行われないと細菌が増殖し、歯肉に炎症を引き起こします。
初期段階では歯肉が腫れたり、出血したりすることがありますが、進行すると歯槽骨の吸収起き、歯が揺れたりすることもあります。
歯周病を予防するためには、適切な口腔衛生管理や定期的な歯科検診、プロフェッショナルなクリーニングが重要です。
歯周病の早期段階での発見と治療は、歯の損失や他の全身疾患のリスクを軽減することに繋がります。
定期的な歯科医院の診察と適切なケアを行うことで、歯周病の発生または進行を予防することができます。

歯周病の進行について

  • C0
  • C1
  • C2
  • C3
軽度 重度

歯肉炎

歯周病の初期段階であり、歯肉の炎症が起こります。プラーク(歯垢)中の細菌が増殖し、歯肉に刺激を与えることで炎症が引き起こされます。歯肉は赤く腫れ、触ると出血することがあります。しかし、この段階では歯槽骨には損傷が生じていません。

歯周炎(軽度から中等度)

歯周病が進行すると、歯周組織の炎症がより深刻になります。炎症は歯肉だけでなく、歯根の周囲の組織や歯槽骨にも広がります。歯肉は退縮し、歯と歯肉の間に深いポケットが形成されます。歯槽骨は炎症によって破壊され、歯の安定性が低下します。この段階では、歯周ポケット内に細菌やプラークがたまり、感染が進行する可能性があります。

進行性歯周炎(重度)

歯周病が未治療のまま進行すると、歯槽骨の破壊が進みます。歯周ポケットはより深くなり、感染や炎症が広がります。歯肉や歯槽骨の損傷により、歯が揺れたり、噛み合わせが悪くなったりすることがあります。最終的には、歯を支える組織の破壊が進行し、歯が抜け落ちる可能性があります。

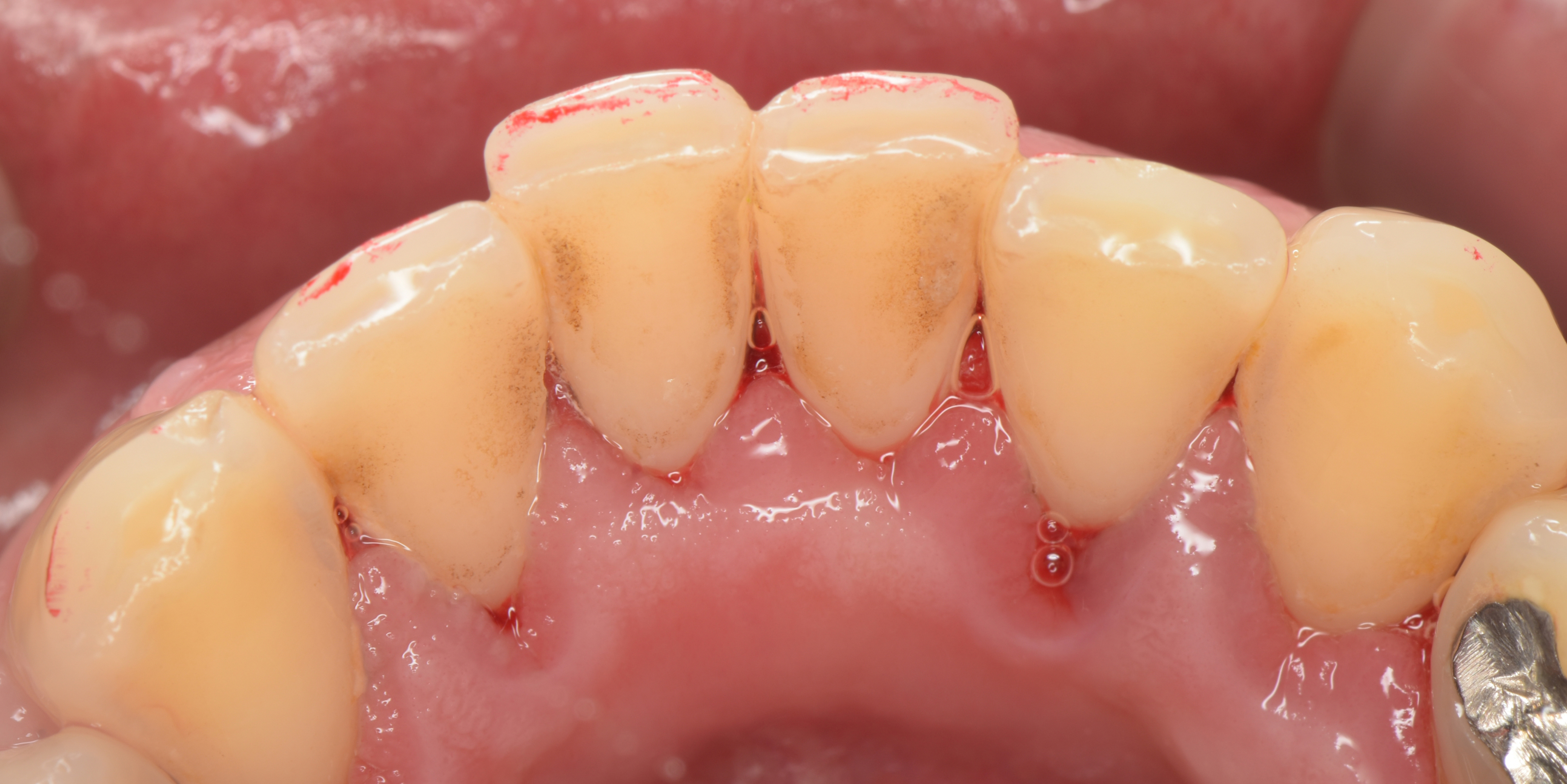
歯石付着している状態

一年ほどでここまで歯石が付着する場合もあります。

歯石の除去直後の状態

歯石に隠れていた歯肉が見えるようになりました。
歯石と接していた歯肉が赤く腫れているのが見てとれます。

放っておくと、歯周病は非常に深刻な問題になるっす!
炎症も進行してしまいますので、この状態になる前に定期的な検診を受けてほしいっす!

歯周病の治療の流れ

1日目

OPG & bitewing または Dental 10枚法 or 14枚法
口腔内写真
歯周基本検査または歯周精密検査(1回目)
縁上歯石除去

2-5日目

歯周基本検査または歯周精密検査(2回目)
縁下歯石除去
染め出し & ブラッシング指導
NICCS問診

6日目

歯周基本検査または歯周精密検査(3回目)
必要があれば再度縁下歯石除去 or フラップ手術

7日目以降

歯周精密検査(4回目)
※虫歯の治療がある場合は引き続き治療継続、ない場合は定期管理へ移行

歯石の付着具合や歯周病の進行具合で日数等は変わるっす!