親知らず
親知らずは抜いたほうがいいのか?
親知らずは、口腔内においてさまざまな問題を引き起こすことがあります。そのため、以下のような状態の親知らずは抜歯を推奨します。
矯正治療の妨げとなる場合
親知らずの位置や成長の方向が、歯列矯正治療を妨げる可能性があります。その際にはしつ歯列矯正を行う前に親知らずを抜歯を行います。
炎症や感染
親知らず周辺の歯肉に炎症や感染が起こることがあります。これは、親知らずが部分的に生えている場合や歯垢や食物の蓄積が起きやすい場合によく見られます。
炎症や感染は痛みや腫れを引き起こすだけでなく、口臭や口腔内の不快感ももたらすことがあります。
予防的な理由
親知らずがまだ問題を引き起こしていない場合でも、将来的な問題を予防するために抜歯を検討することがあります。親知らずは通常、他の歯の後ろに位置するため、歯ブラシやフロスの適切なケアが難しく、むし歯や歯周病のリスクが高まる可能性があります。
親知らずの抜歯には、個別の症状や患者のニーズに基づいて判断する必要があります。定期的な口腔検診や歯科医師の診断によって、親知らずの抜歯が適切かどうかを判断することが重要です。
口腔内の状態を評価し、必要に応じてレントゲンやCTスキャンなどの画像検査を行うことで、より正確な診断が可能となります。
親知らずの生え方
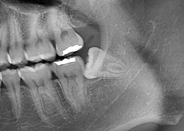
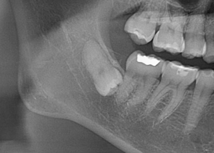
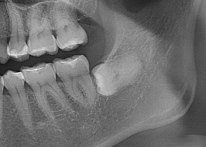
半埋伏智歯(部分的に露出している)
半埋伏とは、親知らずの一部が歯肉の下に埋まっており、一部が口腔内に露出している状態を指します。
露出している部分には、歯垢や食物がたまりやすくなり、炎症や感染、虫歯のリスクが高まる場合があります。
また、半埋伏の親知らずは、周囲の歯や歯肉に圧迫を与え、痛みや不快感を引き起こすこともあります。
さらに、半埋伏の親知らずが隣接する歯に対して圧力をかけることで、歯列の乱れや移動が起こる場合もあります。
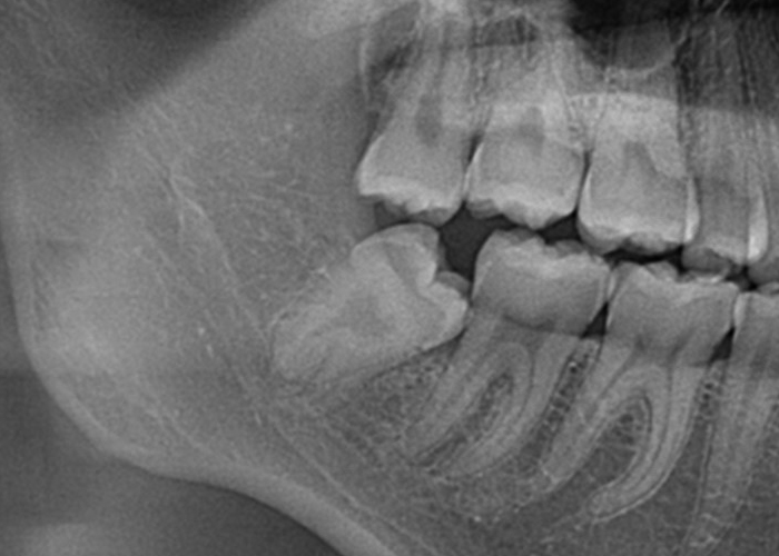
完全埋伏智歯(歯茎に完全に埋まっている)
完全埋伏とは、親知らずが完全に歯肉の下に完全に埋まっている状態を指します。
この場合、親知らずは通常、レントゲンやCTスキャンなどの画像検査でのみ確認できます。
完全埋伏の親知らずは、周囲の組織に直接的な問題を引き起こさない場合もありますが、将来的に問題を引き起こす可能性があります。
そのため、定期的な口腔検診や画像検査が重要です。
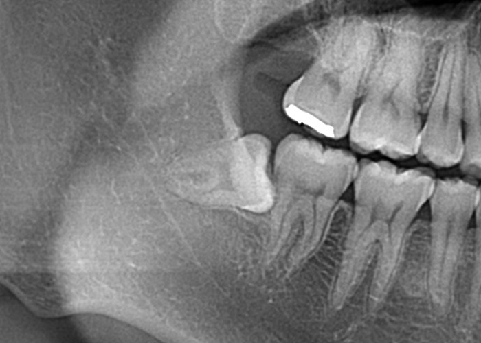
骨性完全埋伏智歯(骨に完全に埋まっている)
この場合も親知らずは通常、レントゲンやCTスキャンなどの画像検査でのみ確認できます。
完全埋伏の親知らずは、周囲の組織に直接的な問題を引き起こさない場合もありますが、将来的に問題を引き起こす可能性があります。
そのため、定期的な口腔検診や画像検査が重要です。
もしこのような歯が抜歯が必要となった場合は近隣口腔外科への紹介をする場合があります。
抜歯の流れ
抜歯
パノラマX線写真を撮影し親知らずの位置関係を把握します。
深さによってはCTまで撮影し3次元的な位置関係の把握を行います。その後局所麻酔と口腔内の清掃を行った上で抜歯します。
親知らずの頭や周囲の骨が引っかかって抜きづらい場合は親知らずを分割したり、周囲の骨を部分的に削除しながら親知らずの抜歯を行います。
抜歯後は必要に応じて縫合を行い止血を行います。完全に止血をされていることを確認した上で帰宅していただきます。
抜歯のケア
抜歯後翌日から2,3日以内に再度受診していただき腫れの状態や傷口の状態、栄養摂取状態を評価します。
縫合を行っている場合は術後一週間を目処に抜糸を行います。
回復期間と注意事項
抜歯後の回復には個人差がありますが、通常は数日から数週間かかる場合があります。
抜歯後は、痛みや腫れが一時的に生じることがあるため痛み止めや抗生物質を処方します。
抜歯部位が炎症や感染の兆候を示す場合や、出血が過剰な場合は、すみやかに連絡をください。
抜歯後の飲食物は、柔らかい食品やウィダーインゼリーなどで栄養を摂取することが推奨されます。
また、飲酒やタバコの摂取は避けるべきです。術後の出血や治癒不全を誘発します。
抜歯部位は清潔に保ち、口腔内の衛生を保つことが重要です。
合併症について
親知らずの抜歯後には、以下のような合併症がまれに起こる場合があります
- 出血:抜歯後の一般的な合併症で、血液が止まらない場合は歯科医師に連絡が必要です。
- 感染:抜歯後、傷口や周囲の組織が感染するリスクがあります。適切な抗生物質や口腔ケアが必要です。
- 歯肉の問題:抜歯により一時的な腫れや炎症が生じますが、通常は自然に解消されます。
- 顔面の腫れ:抜歯後、一時的な顔面の腫れや内出血が生じることがありますが、数日から数週間で治まります。
- 神経損傷:抜歯中に神経を圧迫することで麻痺することがまれにあり、感覚の変化やしびれが生じる可能性があります。
親知らずの抜歯後に合併症は起こる可能性は極めて低いですが、一定の割合で発生するものです。
適切なケアと歯科医師のフォローアップを受けることで、合併症を最小限に抑え、スムーズな回復を促すことができます。
